If it happens to you in the womb, it could threaten your health forever. It could mean that you were conceived with a twin but something went horribly wrong. If it’s visible at a glance, it could mean you will have eyes on you everywhere you go for the rest of your life, through no fault or effort of your own (which could be either a blessing or a curse). Or it could even be a bewildering surprise you don’t even suspect until well into adulthood. That’s just a sample of what having an extra organ means to many people. Here are some of the vastly different effects this has had on people’s lives.
10. Jayan Varma-White
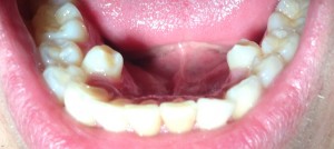
People have a primal fear of losing their teeth, which is why it’s common in nightmares well into people’s adulthoods when baby teeth falling out is a distant memory. So imagine how much worse it is to lose not just the first set, but some of the second. That’s what NBC contributor Kavita Varma-White of Fort Lauderdale, FL described her son as having. In his case it was an extra pair of incisors, the pointy teeth that are usually three teeth over from the front, that had to go. The condition is called having “supernumerary teeth” and according to a 1999 study by the Canadian Dental Association, .8% of participants had supernumerary teeth. There’s a chance that your graduating class had at least a few people with them!
9. Dan Aziere
This man from Danbury, Connecticut has a rare condition much more severe than the previous entry. The condition is called hereditary exostoses, and it caused him to grow an estimated 92 bones in addition to the usual 206 all throughout his body, particularly around his joints and rib cage. Forty-two of them were removed via multiple surgeries by 2010, and some were about the size of a TV remote control. Aziere’s surgeries have had severe consequences, such as one in his teenage years which resulted in a severed nerve and numbness in one of his legs. When he worked as a claims adjuster for Geico, he would often use his condition to try help improve the outlook of people who’d been in severe accidents. Aziere passed his condition on to all three of his children, but they are not reported to have had significant problems as a result of it since it was not the dominant gene, which seems to be the case in approximately fifty percent of cases.
The condition is so rare that only about 1,600 families in the world have it, with a disproportionately high number of them coming from the Ojibwa population of Manitoba, Canada and in Guam. There is no cure for it, but the genes responsible have been found and the search for a cure is underway.
8. Brigham Nordstrom
If a person has more than three of an organ which they should only have two of, that alone is enough to make people uncomfortable. If a person has four, that’s so unusual that it can become national news. But having five kidneys? Hamilton, New Zealand lawyer Brigham Nordstrom found out in 2009 when he went to the hospital for a kidney infection at the age of twenty-eight that he is the only known person in history to have that many. Better yet, each one is fully functional. For those wondering if he would sell any for cash or health reasons, he was specifically advised against it by doctors, barring an emergency, for fear removing any of them would risk interfering with his nervous system (just remember Dan Aziere’s severed leg nerve for proof of that!)
7. Bethany Jordan
Ivemark Syndrome can result in physical problems so bizarre that they sound like a child is making them up of the top of their head. In the case of this girl from Stourbridge, England, it meant that she was born with her stomach on the wrong side of her body, her liver was misaligned, her heart was so out of place that if she exerted herself you could see her heartbeat in her back (in addition to having a hole in it), two left lungs, and most bizarre of all, she had five spleens. For those who don’t know, the spleen is the organ that filters infections and dead cells from the bloodstream. Having four extra of them is likely the largest number of extra organs a person has ever had that most people only have one of. Despite her doctor’s natural belief that she would not survive, as of 2009 at age six, she was in good health aside from being unable to take part in strenuous activities. She also was given the nickname, “Jigsaw Girl.”
6. Antonio Alfonseca
5. Stelios Arcadiou
Everyone else on this list was born with their extra tissue. Stelios Arcadiou, now known as Stelarc, decided to get an extra part strictly for artistic reasons. The sixty-nine year-old, who now lives in Melbourne, Australia, had an ear sculpted out of biocompatible material surgically attached to his arm, and intends to have a microphone installed in it which would broadcast what he was hearing to the internet (except if he went somewhere with no wifi). It was a pretty big step up from his other performance art, which involved putting cameras in his lungs or hanging himself from hooks.
The process of finding a surgeon willing to install the ear on his arm took all of ten years starting in 1996, and the first attempt to install it failed because of an infection. After the second attempt, the process of blood vessels growing so the ear could fully fuse with his body took six months. The reason it’s in the rather odd position of his forearm (odd even by the standards of people who choose to have extra body parts installed) is he was told putting it on his head would be unsafe. Surprisingly, he claims that he often forgets that he has installed an extra ear on his arm, and that when he wakes up in the morning and looks down at his arm, he’s often surprised.
4. Sarah Reinfelder
It’s not common knowledge that female embryos usually develop with a pair of reproductive systems (two vaginas, uteruses, etc). They are supposed to merge during gestation, but in an estimated one in three thousand cases, something happens which interferes with the process, resulting in a condition called uterus didelphys. This pair of uteruses can result in pelvic pain or miscarriages as one of the uteruses is often not fully functional or be so benign that it’s not even ever diagnosed. Sarah Reinfelder of Knoxville, TN had a particularly unusual case in 2009 since her pair of uteruses were both functional. When she was impregnated with twins, each one had a uterus of their own to gestate in. Initially, it was pretty unfortunate news for her as she was on birth control and it was theorized her two uteruses overrode the drugs by producing more hormones than the birth control could counteract. In interviews, she said she was just happy that both children came out without any health problems.
3. Hazel Jones
While Reinfelder didn’t seem to court the spotlight, in 2012 this then twenty-seven year-old woman went on the British talk show This Morning to describe her two vaginas and spread awareness of her condition shortly after doing an AMA thread on Reddit. She claimed she hadn’t known that her situation was even at all unusual until she was eighteen. Jones was completely candid about her condition, joking that it was “an ice-breaker at parties” and describing how she frequented fetish clubs with her husband. It went so far that she was offered a million dollars to appear in a pornographic video. She did not accept the job offer, although she was fine posing for the explicit magazine, Bizarre.
2. Diphallic Dude
Although he remains anonymous, on January 2, 2014, this person became famous worldwide for agreeing to host an AMA Thread of his own on Reddit. The answer to one of the thousands of questions claims that both of his organs are fully functional (very unusual for his condition, since usually at least one of the organs will come out malformed). It has allowed him a particularly active sex life, but he is still worried about how it would change his life if it were revealed to the public who he is, even though he has since met sexual partners who had predictably little trouble recognizing him. It does only occur in about one in every 5.5 million people, after all.
He has since published a bestselling book about his life and what it was like to overhear him being discussed in public so much by people who had no idea who he was. For the most part, his attitude about it seems to be jokey and lighthearted (for example, his book is entitled Double Header), but he was brought to tears during an interview on the Reddit podcast Upvoted (NSFW) when he described how his mother told him she had considering an abortion because she feared the deformity indicated he might not be viable.
1. Lakshmi Tatma
Born with four arms and legs in 2005 in Jodphur, Rajasthan, India during the ceremony for the eight-limbed Goddess she was named for, Lakshmi became world famous in 2008 when she was scheduled to have a surgery that would remove the extra limbs. Prior to that, she had been held up as an object of worship in her community, with her mother claiming to have a had prophetic dream that she would be born like this and even a temple built in honor of her. Of course, Lakshmi’s condition is not the result of anything supernatural but of a parasitic twin. In addition to the twin’s limbs extending from her, the twin’s neck extended out of her lower torso. It was so horrible for her health that she never went a week without a fever or an infection.
Although the twin was successfully removed in a marathon twenty-seven hour surgery arranged by Dr. Sharan Patil by 2015, it was reported that her family was having difficulty acquiring enough money to pay for her treatments. She was in pain and was not even able to sit down. At present, her family does not seem to have made an arrangement to accept donations online.








